5/30: The Default Mode Network (DMN)
The DMN is central to this story and deserves its own entry. A note on networks: neuroscience has moved away from trying to figure out what specific brain regions do and toward figuring out network activity, because the brain is a complex system and regions don't work alone. There are a few large-scale brain networks that are in charge of most cognitive/experiential functions, and the DMN is an important one.
What does it do? You can find research linking it to a huge number of functions. Autobiographical thinking and daydreaming. Recalling our past, imagining our future, judging ourselves (and others), theory of mind, etc. It's been called "the wandering mind" network, because it's active when we aren't focused on our present environment. It’s related to the constant voice in your head that sounds like “you.” It also turns out, that it relates to unhappiness - a wandering mind is an unhappy mind, found Harvard psychologist's Daniel Gilbert.
It’s the central network of the narrative layer of the self. There have already been DMN subnetworks identified for different processes like relating to others, mind wandering, self evaluation, etc., and I’m sure many more are to come.
The DMN's discovery is an interesting story. With brain imaging studies, participants were usually put inside the MRI machine and asked to not do anything while a baseline was assessed (in order to be compare later to activity during a specific task so that "baseline activity" can be subtracted leaving only activity related to the task). It turns out, when asked to do nothing, the brain doesn't just turn off. A neuroscientist named Raichle noticed persistent network activity, and when he asked participants what they were doing, they'd say there were just, y'know, letting their minds wander - as anyone probably would if they were asked to not do anything. And of course mind wandering probably relates to you in some way (imagining the future, evaluating your past, thinking about what you need to do) appx. 90% of the time. This network activity was brighter (representing more activity) than anything the scientists were trying to actually measure in their studies. Turns out that daydreaming and thinking about ourselves, being very frequent activities, make well worn pathways in the brain, and these well-worn pathways become the resting states we default to most often.
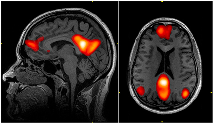
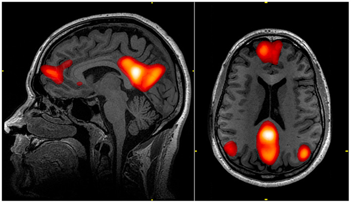
The DMN's central node is called the Posterior Cingulate Cortex (PCC). It is usually the brightest spot in any brain. Again, while we don't think that any brain region acts in isolation, the PCC has been identified as a hub of self-reference. Neuroscientist Judson Brewer says its activity is related to "getting caught up" in our experience. So for example, rather than listening to someone speak, thinking about our perspective instead. Or instead of enjoying dancing, imagining how we look.
Next, a break to explain priors/hyperpriors better, and then two compelling studies with enlightened individuals that involve the DMN.

